Skip to main content
Minimally Invasive Dentistry
We Offer Comfortable Family Dentistry

Minimally invasive dental procedures and modern materials make dental procedures virtually pain-free for your family.

Minimally Invasive Dentistry | Dentist
Learn More about Minimally Invasive Dentistry Here
Contact Us

Minimally Invasive Dentistry

What if visiting your dentist in Middletown was always comfortable and virtually pain-free? With many of today’s updated materials combined with modern dental procedures, it actually can be!

We want you to know that your comfort is a top priority to us here at Summit Dental, and Dr. Karian is conservative when diagnosing dental treatment. This means you can rest assured knowing that the treatment he recommends for you and your family members is really what is needed to achieve and maintain excellent dental health.

Dr. Karian also invests in dental materials and utilizes techniques that allow him to provide minimally invasive dentistry to his patients that results in a more pleasant and stress-free experience.

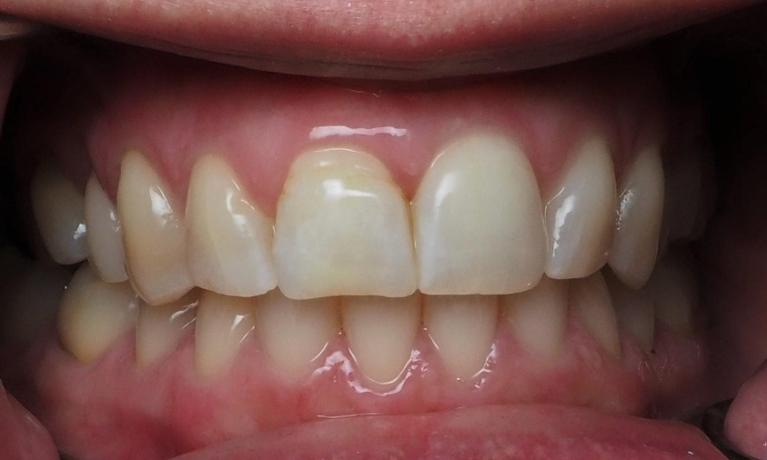
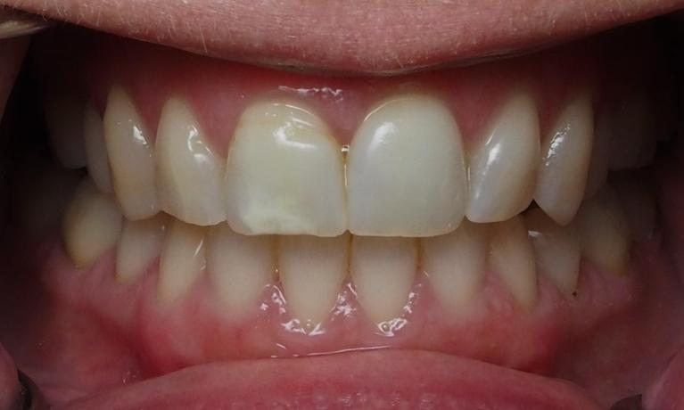
Icon® Dental Treatment

Icon® is a leading-edge dental treatment that allows your Middletown dentist to treat tooth decay early on or white spots (fluorosis) on your teeth in the least invasive manner.

Icon® uses dental resin placed into a treated tooth to fill and reinforce enamel that has been compromised by tooth decay or early cavities. Icon® can also give a tooth with white spots a more uniform appearance. All of this is completed without ever using a drill or without the need for dental anesthetic.

By treating a compromised tooth early, it can eliminate the need for filling in the future and preserve more natural tooth structure.

What Causes White Spots?

Icon® can eliminate those troublesome white spots on your teeth that you may have been living with since childhood. Some of the causes of white spots are:

  • Fluorosis: sometimes caused by the consumption of too much fluoride during childhood
  • Poor dental hygiene: especially when wearing braces
  • Enamel hypoplasia: occurs when tooth enamel doesn’t develop properly
  • Eating too much sugar or acidic foods: this can eat away at tooth enamel

Silver Diamine Fluoride

Silver Diamine Fluoride (SDF) uses silver and fluoride to help control active decay in a tooth. Silver utilizes its anti-microbial properties to help strengthen dentin, which is the protective layer of your tooth; while fluoride can remineralize enamel that has been compromised by tooth decay. Better yet, SDF is easily applied by brushing it onto the tooth, making it a less invasive treatment with no need for anesthetics or drilling.

SDF is FDA-approved and can be beneficial in stopping the progression of tooth decay in children until they’re more comfortable having treatment. It can also be helpful for more mature patients who have trouble sitting in the dental chair for more extended periods required by more complicated treatment procedures.

Learn More by Contacting Summit Dental

If you would like to learn more about how Dr. Karian provides minimally invasive dentistry in Middletown, DE with treatments like Icon® and SDF, please contact our dental office today at (302) 376-1500 for more information.

The atmosphere is very relaxing

Summit Dental is a wonderful place for any dental work. The atmosphere is very relaxing and everyone makes you feel like family. Ten years ago, my son chipped his front tooth and Dr. Forster came into the office on a Saturday to fix it. The dental hygienist are extremely positive and gentle while they are working. The receptionist are the best! They always work on getting you an appointment that works best with your busy schedule. I recommend them to everyone!

Frequently Asked Questions

Your safety is our #1 concern.

Here at Summit Dental, we have taken steps to minimize your risk of acquiring COVID-19 while still maintaining your healthy smile. You will find us taking the following precautions to ensure your safety:

  • Patient screening: all patients will be screened for symptoms of COVID-19 and have their temperatures checked prior to entering the treatment area. Anyone with a temperature of 100.4°F will be asked to reschedule their appointment.
  • Team screening: all team members will have their temperatures checked twice daily and will remain at home if feeling ill
  • Mask requirements: patients are required to wear a face-covering except when in the treatment chair.
  • Virtual waiting room: you may elect to wait in your vehicle until your treatment: please call the office upon arrival and we will inform you when to come inside.
  • Office cleanliness: we have increased the frequency of commercial cleaning of the office as well as the disinfection of high-touch surfaces such as doorknobs.
  • Air filtration: our office was designed with a healthcare quality HVAC system to circulate fresh air and exhaust office air. We have installed HEPA filters for additional safety

We appreciate your trust.

We look forward to taking care of you and your family safely during the COVID-19 pandemic

Meet Our Doctor:

Peter Karian, DDS

Dr. Peter W. Karian is originally from Sudbury, Massachusetts. He earned a Bachelor's of Arts in Biology from Carleton College.  Dr. Karian graduated from the University of Maryland, and then he pursued further training through a General Practice Residency at Christiana Care Health System. As a resident, he received extensive training in all aspects of general dentistry with a focus on complex medical and dental patients as well as implant restorations.

Dr. Karian believes in treating you as a person and not just your teeth.  Whether that means a full cosmetic ...

More Comfortable Dental Procedures for Your Family
Click Here